Цель Всемирного дня борьбы против рака — заострить внимание общества на проблеме онкологии, повысить информированность людей и привлечь внимание к профилактике и раннему выявлению данного заболевания. Главная задача - выявить болезнь как можно раньше.
Рак — это общее обозначение более чем 100 болезней, которые могут поражать любую часть организма, и орган зрения не исключение. По данным статистики, общее количество больных с новообразованиями органа зрения, которые ежегодно обращаются к врачу, составляет 110 человек на один миллион населения в мире.
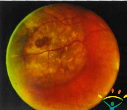
Одним из наиболее грозных злокачественных заболеваний органа зрения является меланома хориоидеи сосудистой оболочки глаза. В России заболеваемость меланомой хориоидеи колеблется от 6 до 8 человек на один миллион взрослого населения.
Меланома хориоидеи чаще всего встречается у людей в возрасте 50-70 лет. Заболевание одностороннее. Двусторонняя меланома хориоидеи чрезвычайно редка.
Как распознать болезнь?
Первые клинические проявления опухоли зависят от ее локализации в сосудистой оболочке. Меланома центральной области рано проявляется нарушениями зрения и имеет тенденцию распространяться кнаружи. Если меланома расположена за пределами центральной зоны, то течение ее длительное время остается бессимптомным. Затем у больного могут появиться жалобы на возникновение темного пятна в поле зрения. При объективном исследовании обнаруживается выпадение поля зрения, соответствующее локализации опухоли.

Уточнить диагноз врачу помогают дополнительные методы исследования - ультразвуковое сканирование глазного яблока, компьютерная томография, флюоресцентная ангиография. До решения вопроса о характере лечения онколог должен провести тщательное обследование больного с меланомой с целью исключения метастазов. Следует помнить, что при первичном обращении к офтальмологу метастазы обнаруживают у 2—6,5 % больных с крупными опухолями и у 0,8 % с небольшими меланомами.
Лечение
Более 400 лет единственным лечением меланомы хориоидеи была энуклеация (удаление) глазного яблока. С 70-х годов XX столетия в клинической практике начали использовать органосохраняющие методы лечения, целью которых является сохранение глаза и зрительных функций при условии локального разрушения опухоли. К таким методам относятся лазеркоагуляция, гипертермия, криодеструкция, лучевая терапия - брахитерапия и облучение опухоли узким медицинским протонным пучком. Органосохранное лечение показано только при небольших опухолях.
Прогноз
Прогноз всегда серьезный. Он зависит от стадии заболевания, клеточного строения опухоли. Отягощает прогноз прорастание опухоли за пределы глаза. Метастазы развиваются большей частью в первые 3-5 лет после операции. Однако их появление возможно и в более поздние сроки.
Меланома метастазирует чаще всего в печень (до 85 %), второе место по частоте возникновения метастазов занимают легкие.
Прогноз для зрения после брахитерапии определяется размерами и локализацией опухоли. В целом хорошее зрение после брахитерапии удается сохранить почти у 36 % больных при локализации опухоли вне центральной зоны. Глаз, как косметический орган, сохраняется у 83 % больных.
После лечения больные должны находиться под наблюдением практически до конца жизни. После лучевой терапии врач должен осматривать больных каждые 3 месяца в первые 2 года, затем 2 раза в год в течение 3-го и 4-го года, далее 1 раз в год.
Чтобы избежать тяжелых последствий и выявить заболевание на ранней стадии, необходимо каждый год проходить полное обследование офтальмолога и осмотр глаз с широким зрачком. Быть более внимательным к себе и обращаться к специалистам при появлении темного пятна в поле зрения.
Материал подготовлен: Еленой Милосердовой, врачом офтальмологом консультационно – поликлинического отделение ГБУ РО «ОКБ им. Н.А.Семашко».





















